
ǯËö¤«¤é¤Þ¤¿
¶ºÀµ¼£ÎŤ´´õ˾¤Î´µ¼Ô¤µ¤Þ¤¬Áý¤¨¤Æ¤¤¤ë¡£»ä¤Î¥¯¥ê¥Ë¥Ã¥¯¤Ç¤ÏÂçÂηî¤Ë£±¡Á£³¥±¡¼¥¹¤Î
¥Þ¥¦¥¹¥Ô¡¼¥¹¶ºÀµ¡¢£´~£µ¥±¡¼¥¹¤Î¥ï¥¤¥ä¡¼
¶ºÀµ¤ÎÊý¤¬¿·µ¬¤Ë¼£ÎŤò»Ï¤á¤ë¡£ÆÃ¤Ë
¥Þ¥¦¥¹¥Ô¡¼¥¹¶ºÀµ¤ÏÈó¾ï¤Ë¿Íµ¤¤¬¤¢¤êËèÆü¤Î¤è¤¦¤ËÌ䤤¹ç¤ï¤»¤ò夤¤Æ¤¤¤ë¾õ¶·¤À¡£
»ä¤âº£Ç¯¤Ç
¥Þ¥¦¥¹¥Ô¡¼¥¹¶ºÀµ¤ò¥¯¥ê¥Ë¥Ã¥¯¤ËƳÆþ¤·¤Æ£´Ç¯ÌܤȤʤꡢ¤µ¤Þ¤¶¤Þ¤Ê¥±¡¼¥¹¤ò¾Ò²ð¤·¤Æ¤¤¤³¤¦¤È»×¤¦¡£
¶ºÀµÁõÃ֤Ȥ¤¤¨¤Ð¥ï¥¤¥ä¡¼¤ÎÁõÃÖ¤¬Åö¤¿¤êÁ°¤È»×¤Ã¤¿¤éº£¤Ï°ã¤¦¡£º£¤Ï
¥Þ¥¦¥¹¥Ô¡¼¥¹·¿¤ÎÁõÃ֤Ǥ⤫¤Ê¤ê¤Î
¾ÉÎã¤ò¤³¤Ê¤¹¤³¤È¤¬¤Ç¤¤ë¤è¤¦¤Ë¤Ê¤Ã¤¿¡£
¤¹¤Ç¤Ë
È´»õ¥±¡¼¥¹¤â
¥Þ¥¦¥¹¥Ô¡¼¥¹¶ºÀµ¤Ç¥ë¡¼¥ë¤ò¼é¤ì¤Ð¤Ç¤¤ë¤è¤¦¤Ë¤Ê¤Ã¤Æ¤¤¤ë¡£
¥Þ¥¦¥¹¥Ô¡¼¥¹·¿¤ÎÁõÃ֤ˤϥ¢¥é¥¤¥ó¥Æ¥¯¥Î¥í¥¸¡¼¼Ò¤¬Ä󶡤¹¤ë
¥¤¥ó¥Ó¥¶¥é¥¤¥óÁõÃÖ¡¢¥¯¥ê¥Ë¥Ã¥¯Æâ¤Ç¥Ï¥ó¥É¥á¥¤¥É¤¹¤ë
¥¢¥¯¥¢¥·¥¹¥Æ¥à¤ä¥¨¥·¥Ã¥¯¥¹¡¢£Á£Ó£Ï¥¤¥ó¥¿¡¼¥Ê¥·¥ç¥Ê¥ë¤¬Ä󶡤¹¤ë¥¯¥ê¥¢¥é¥¤¥Ê¡¼¤¬¤¢¤ë¡£¤É¤ÎÁõÃ֤⸶Íý¤ÏÁ´¤¯°ì½ï¤Ç¤¢¤ë¡££Ð£Ã¾å¤Ç¥Ð¡¼¥Á¥ã¥ë¥·¥å¥ß¥ì¡¼¥·¥ç¥ó¤Ç»õ¤¬¤É¤Î¤è¤¦¤Ëư¤¤¤Æ¤¤¤¯¤«¤òºÆ¸½¤¹¤ë¤Î¤Ï
¥¤¥ó¥Ó¥¶¥é¥¤¥ó¤Î¤ß¤Ç¤¢¤ë¡£¤½¤Î¾¤ÎÁõÃ֤ϥ¢¥Ê¥í¥°¤È¹Í¤¨¤Æ¤â¤é¤Ã¤Æ¤¤¤¤¡£
¥¤¥ó¥Ó¥¶¥é¥¤¥ó¤Ï£°¡¥£±Ð¤ÎÀºÅ٤ǻõ¤òư¤«¤¹¤³¤È¤¬²Äǽ¤ÊÌ´¤Î
¶ºÀµË¡¤Ç¤¢¤ë¡£Â礤ÊÁ´ÂΤΤ¹¤Ù¤Æ¤Î»õ¤òư¤«¤¹¤Ê¤é¤Ð
¥¤¥ó¥Ó¥¶¥é¥¤¥ó¤¬ÂçÊÑ͸ú¤Ç¤¢¤ë¡£¤½¤Î¾¤ÎÁõÃ֤ϤɤÁ¤é¤«¤È¤¤¤¨¤ÐÉôʬ
¶ºÀµ¤ÎÉôÎà¤ËÆþ¤ë¤À¤í¤¦¡£
¥ï¥¤¥ä¡¼
¶ºÀµ¤ÏÀºÅÙÌ̤ǤϺǹâ¤Ç¤¢¤ë¡£¤·¤«¤·¸«¤¿ÌܤÎÌäÂê¤È¥ï¥¤¥ä¡¼ÁõÃÖ¤¬¸ý¤ËÆþ¤ë¤³¤È¤«¤é
¶â°¥¢¥ì¥ë¥®¡¼¤Î´µ¼Ô¤Ë¤Ï»È¤¨¤Ê¤¤¡£
¥Þ¥¦¥¹¥Ô¡¼¥¹¶ºÀµ¤Ï¥á¥¿¥ë¥Õ¥ê¡¼
¶ºÀµ¤È¤¤¤Ã¤Æ¤â²á¸À¤Ç¤Ï¤Ê¤¤¡£
¤½¤ì¤Ç¤â¥ï¥¤¥ä¡¼
¶ºÀµÁõÃ֤Ǥʤ¤¤Èư¤«¤Ê¤¤¡¢Æ°¤«¤·¤º¤é¤¤
¾ÉÎã¤Ï»³¤Û¤É¤¢¤ë¤Î¤Ç»õʤӤव¤Ë¹ç¤ï¤»¤Æ»È¤¤Ê¬¤±¤ò¤¹¤ëɬÍ×À¤¬¤¢¤ë¡£ÆÃ¤Ë³«¸ý
¾ÉÎã¤Ç¤Ï
¥Þ¥¦¥¹¥Ô¡¼¥¹·¿¤Ç¤Ï¤È¤Æ¤âÆñ¤·¤¯¤Ê¤ë¡£
¤³¤Î¤è¤¦¤ËÆñ
¾ÉÎã¤Ç¤Ï°ì»þŪ¤Ë¥ï¥¤¥ä¡¼ÁõÃÖ¤òÉôʬŪ¤Ë»È¤¤¡¢ÅÓÃæ¤«¤é¥Ö¥é¥±¥Ã¥ÈÁõÃÖ¤ò¤Ï¤º¤·¤Æ
¥¤¥ó¥Ó¥¶¥é¥¤¥ó¤Ø°Ü¹Ô¤¹¤ë¤³¤È¤âºÇ¶á¤Ç¤ÏÅö¤¿¤êÁ°¤Ë¤Ê¤ê¤Ä¤Ä¤¢¤ë¡£
¥¤¥ó¥Ó¥¶¥é¥¤¥ó¥Þ¥¦¥¹¥Ô¡¼¥¹¶ºÀµ¤ÎºÇÂç¤ËÍøÅÀ¤Ï
¡ÌÜΩ¤¿¤Ê¤¤
¢·ëº§¼°¡¢¼õ¸³¡¢ÌÌÀÜ¡¢»Å»ö¤Ë¤ª¤¤¤Æµ¤¤Ë¤Ê¤é¤Ê¤¤
£¥ï¥¤¥ä¡¼
¶ºÀµ¤Î¤è¤¦¤Ë¥ï¥¤¥ä¡¼¤¬Èô¤Ó½Ð¤¹¤è¤¦¤Ê
¥È¥é¥Ö¥ë¤Ï°ìÀڤʤ¤
¤±Êµ×»õ¤ÎÀ¸¤¨¤½¤í¤Ã¤¿£±£²ºÐ°Ê¾å¤Ê¤éǯÎð¤òÌä¤ï¤Ê¤¤¡£Ï·¿Í¤Ç¤â²Äǽ
¥¼£ÎŴֳ֤ϣ¶½µ´Ö¤Ë£±²óÌó£³£°Ê¬´Ö¤ÎÄ̱¡¤Ç£±~£²Ç¯´Ö¤Ç»õ¤¬¼£¤ë
¦±óÊý¤«¤é¤ÎÄ̱¡¤Ç¤¤ë¡£³¤³°¤«¤é¤Ç¤â²Äǽ
§Ä¹´ü£²¥«·î¤°¤é¤¤¤Îι¹Ô¤Ë¤¤¤Ã¤Æ¤â²Äǽ
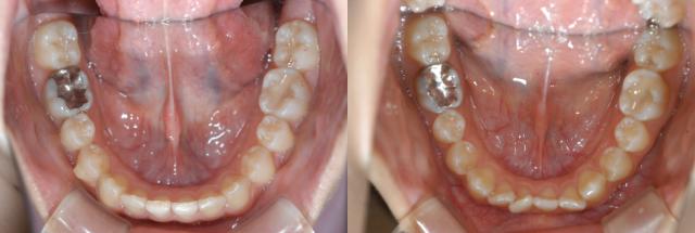
²èÁü¤Ï
¥¤¥ó¥Ó¥¶¥é¥¤¥óÁõÃå»þ
½ÑÁ°½Ñ¸å
¼£ÎÅÊý¿Ë
´Ê°×¥µ¥¤¥È
¥Þ¥¦¥¹¥Ô¡¼¥¹¶ºÀµ
¾ÉÎã
µá¿Í