★究極の歯科治療を目指して★
患者さんや歯科関係者のために多くの歯科情報を公開していこうと思います!
皆様が特に関心のある
予防
、
インプラント治療
、
矯正治療
、
審美歯科治療
、
ホワイトニング、メタルフリー治療
について色々な情報を正しくお伝えできたらと考えています。
一度治療したらそれ以上悪くならない治療・虫歯や歯周病を発生させない治療を目指しています。
そして、このブログが患者様の治療に役立てたら最高だと思います。それと多くのコメントをお待ちしています。
治療に対する質問は直接メール相談できるコーナーがございますので左側の
『歯科治療プライベート相談』
から院長 星野と直接相談を行うことが出来ますのでどうぞご利用ください。返事は2〜3日中には必ず返事を出します。
東京都世田谷区駒沢1−3−17
星野歯科駒沢クリニック
月曜〜土曜日 10:00−13:30 15:00−19:00
03−5486−8440
2014年 02月 25日 ( 火 )
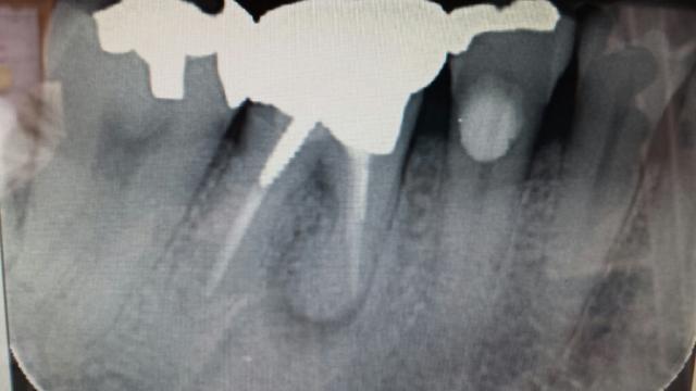
精密治療(マイクロスコープ)
根管治療
今日の
根
管治療
初回ではクラウン、メタルコア、ゲーツドリルで
根
管口を広げて、
根
管充填剤の除去で終わる。
2回目で#10Kファイルでひたすら
根
尖部を目指しEDTAでスメア層の除去、ヒポクロで洗浄、水酸化カルシウム粉末を入れてキャビネットで仮封。
3回目で
根
管充填。
術前、術後(
根
管充填と同時にファイバーコア、形成、印象まで)
今度はドッベストセメントと組み合わせて新しい方法で試す予定。
-- この記事への外部リンク: