予防・インプラント・歯列矯正・審美歯科ブログ 『究極の歯科医療を目指す歯科医師ブログ』歯を治して若返り!

★究極の歯科治療を目指して★
患者さんや歯科関係者のために多くの歯科情報を公開していこうと思います!
皆様が特に関心のある予防インプラント治療矯正治療審美歯科治療ホワイトニング、メタルフリー治療について色々な情報を正しくお伝えできたらと考えています。
一度治療したらそれ以上悪くならない治療・虫歯や歯周病を発生させない治療を目指しています。
そして、このブログが患者様の治療に役立てたら最高だと思います。それと多くのコメントをお待ちしています。
治療に対する質問は直接メール相談できるコーナーがございますので左側の『歯科治療プライベート相談』から院長 星野と直接相談を行うことが出来ますのでどうぞご利用ください。返事は2〜3日中には必ず返事を出します。
東京都世田谷区駒沢1−3−17
星野歯科駒沢クリニック
月曜〜土曜日 10:00−13:30 15:00−19:00
03−5486−8440

院長 星野 元


携帯からブログや診療内容が見れます


Twitterやっています



・星野歯科駒沢クリニック
・インプラントリカバリー
センター

・ジルコニアインプラント
研究会


歯科治療プライベート相談
院長と直接
相談したい方はこちらへ
> my page

院長著書
最新「歯科医療」
事情
>目次を見る
2026 年
05
     12
3456789
10111213141516
17181920212223
24252627282930
31
=全てのカテゴリ=
  星野 元 詳細プロフィール 過去から現在
  Dr星野のアクアシステム体験記
  スタッフ募集
  過去ブログ一覧2003.11-2006.10
  Dr別診察日と休診日
  予約状況
  相談と治療予約
  院内情報
  理想とかけ離れた保険治療
  歯科最新記事
  伝えたいこと
  患者さんとの話
  星野個人の話
  精密治療(マイクロスコープ)
  歯科のアンチエイジング
  予防歯科
  インプラント基礎情報
  サイナスリフト法など増骨について
  インプラント症例
  インプラント最新情報
  インプラント症例集
  ブリッジvsインプラント
  入れ歯
  矯正の基礎情報
  矯正症例
  マウスピース矯正
  マウスピース矯正症例
  矯正治療最新情報
  インプラント矯正アンカー情報
  審美歯科基礎情報
  審美歯科症例
  審美歯科最新情報
  ジルコニアオールセラミッククラウン
  根管治療
  金属アレルギー
  セレック
  究極の歯科技工
  ホワイトニング最新情報
  レーザー情報
  講演会・研修会情報
  副院長 篠山より一言
== 未分類 ==

 30854199
     

人気blogランキングへ

みんなのブログランキング
◆2006年10月までの記事

もう一つの
インプラントブログ


星野歯科駒沢クリニック
星野歯科駒沢クリニック

星野歯科の予防歯科
インプラントFAQ
インプラントFAQ
矯正歯科のことなら星野歯科矯正サイト
星野歯科矯正サイト
審美歯科Q&A
審美歯科Q&A
インプラント110番

世田谷マウスピース矯正センター

根管治療ガイド

インプラント相談と回答

インプラント体験談

星野歯科求人情報

Mail

歯科治療プライベート相談
院長と直接
相談したい方はこちらへ
> my page

院長著書
最新「歯科医療」
事情
>目次を見る

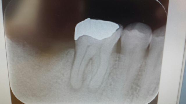
 2015.07.19 [ 根管治療 ]
珍しい歯の内部吸収症例
歯の内部(歯髄)部分から吸収が起こり、最終的には歯が折れてしまう珍しい内部吸収について

頻度としては私の全患者のうち年間で1人いるかいないかというとても珍しい現象である。大抵のケースでは気づかないうちに徐々に進行して歯髄炎のような症状から発見されることが多いのが特徴である。強い咬合力がかかっている歯にストレスがかかると時として歯の内部吸収がおこるようである。

以前はメインテナンス時にはパノラマレントゲンで歯の虫歯や歯周病を確認していたのだが、2年前から14枚法のデンタル撮影のIPフィルムにに切り替えてからは発見が容易になっている。

今回のケースでは抜髄処置後に管内の内部吸収部にはMTAセメントを使用して歯の外部との交通部分を埋めて内部はファイバーコア+スーパーボンドで補強をして歯を抜かずに保存していく予定である。

左上の画像はわずか2年で内部吸収がおこった例
左下は内部吸収後にフラップ手術で管外からMTAセメント+CRで処置した例


 
(0)   (0)   

 2014.06.25 [ 根管治療 ]
昔なら抜歯する歯も保存できるようになって
歯を保存する技術があがると抜歯してインプラント治療をおこなうことは極めて少なくなる。昔ならば抜歯と決めつけていた歯を今日は2本助けることができた。

管治療の成績は1回目に行うものが9割、2回目以降で尖部に病巣があるもので6〜7割である。さらにその予後不良の管治療後の歯を外科的に尖部の病巣を直接取ってしまうマイクロエンドサージェリーをおこなえば9割の成功率を収めることができる。トータルでは9割以上の成功率で管治療で治すことができる。しかし、国内の一般臨床での管治療の成功率はわずかに4割であるというデータがある。その多くは管内がうまく殺菌されていない状態で管充填がされたり不十分な管充填処置である。従来の方法では肉眼で歯の内部をみても真っ暗でほとんど手探りの治療法であり、内部がきれいになっているかどうかを確認する方法はなかった。そこに顕微鏡が歯科でも導入されて内部を明るく20倍大まで拡大できるようになり、著しく成功率が高くなった。ただし、マイクロスコープ顕微鏡を使用しても管内の仮詰が甘かったり、ラバーダムのような唾液を排除する行為を行わないとすべてが無駄になってしまう。管の内部をできるだけ清潔で無菌化することが最も重要である。

本日は前回管の内部からアプローチして経過が芳しくないために外科的マイクロエンドサージェリーをおこなった。尖部3ミリをカットしさらに逆管形成3ミリ+MTAセメントで逆管充填処置をおこなう。

今月頭に参加した研修会で早速の成果であろう。やはり歯科は常に研究向上心を持ち前進していくことが大事である。
 
(0)   (0)   

 2014.03.10 [ 根管治療 ]
根管治療 術後6か月
昨年9月に管治療をした前歯2本の歯の状況では先端部に黒い膿の球ができていた。マイクロスコープで内部を拡大すると拍動しながら膿が上部にこみ上げてくるのが見て取れた。内部の管の位置も前の歯科医の間違った方向の拡大でバイパスができそうになっていた。正しい道を確実にマイクロスコープで見つけ出して消毒し管充填を行った。本日、治癒の経過を確認するレントゲンを見ると黒色の膿の球は小さくなり周囲の骨が再生してきていた。良好な経過である。

左が術前
右が術後 6か月経過


  
(0)   (0)   

 2013.11.30 [ 根管治療 ]
精密根管治療
管治療の不備を改善するような再管治療が最近はとても多くなっている。上部のかぶせ物やメタルコアをマイクロスコープでのぞきながら慎重にはずしていく。その際に内部に亀裂がないかを確認し、問題がなければ徹底的に洗浄し管内部を無菌に近い状態にしきれいな状態で再度管充填をおこなう。そしてできれば即日にファイバーコアを立てて内部の感染が起こらないようにする。抜髄歯であれば90%以上の確率で完治、2度目の管治療では80%ぐらいの成功率になる。残りの20%の経過不良例に対してはマイクロサージェリーで尖の切除を行うことでさらに90%が完治する。すなわち抜歯をしなくてもよいケースが実はたくさんあり、管治療に時間と費用をかけてもらえるならばかなりの確率で保存ができることになる。しかし、保険制度の枠組み内では時間と治療費の安さなどまざまな制約があり成功率を上げるのは困難であり、結果として抜歯となることにつながる。国内の一般的な保険治療の方法では成功率はわずかに30〜40%というデータになる。

画像は左下 術前 欠損+隣の歯は尖病巣あり
画像は右下 術後 インプラント管治療が完了した状態


  
(0)   (0)   

 2013.10.01 [ 根管治療 ]
精密治療の必要性
歯はとても小さな臓器であり、裸眼で虫歯の細かな部分やの中をはっきりと認識できるならば神の目をもつ特殊な人種であろう。一昔前までは裸眼での治療が当たり前だった歯科の世界でも拡大鏡や顕微鏡(マイクロスコープ)が常識化してきた。

メガネタイプの拡大鏡なら最大でも8倍大まで拡大できるものが売り出されている。マイクロスコープなるものなら最大40倍大まで拡大できる。
実際に使う倍率は5〜10倍ぐらいが多く、裸眼での治療の3倍は精度があがると思う。

見えてない状態での治療は手探り、感覚による治療で精度は劣る。見えている状態ではそれを修復しようという善良な心があれば治療時間はかかってくるのは当たり前である。

私も慣れるのに1年はかかったが今は拡大鏡とマイクロスコープがないと治療はできない状況になっている。

(0)   (0)   

 2013.04.12 [ 根管治療 ]
マイクロスコープ治療で歯髄(神経)を残す治療
5倍大に拡大できるサージテルでの治療はほぼすべての診療で活用し、精度を高めるトレーニングを常に心がけミラーテクニックにも慣れなくてはならないものとなっている。5倍でももう少し見たいというときにはマイクロスコープの使用頻度が高くなってきた。

特に管内の破折線の確認や見逃しやすい上顎近心はマイクロスコープでみるとすぐにわかる。本日いらした方は、他のクリニックで管治療を2か月やっていて何度か腫れていて切開をおこなって経過不良ということだった。早速、デンタル撮影をして単純な尖病巣に見えたのでCT撮影は行わずに管内をマイクロスコープで覗いてみた。3管が拡大されていて口蓋、遠心の内部はきれい拡大されていた。しかし、頬側の内部を除くと浸出液が上がっていて破折線のような汚れが目立った。そこを超音波チップできれいにする。一つ目の原因はここだろうということがわかった。そして拡大された近心の内側にもうひとつの拡大されていない管が潜んでいた。

このように暗視野下ではなかなかわからないものが簡単にわかってしまった。

別の患者さんでの虫歯治療においては

拡大鏡である程度まで虫歯の部分を削り神経が近いことがわかってからはマイクロスコープに切り替えて、露髄しないようにぎりぎりまでスプーエキスカで虫歯を取っていく。このように拡大しながら治療をすれば歯を保存できる確率も格段にあがることがわかる。

治療方針
フェイスブック


   
(0)   (0)   

 2013.02.09 [ 根管治療 ]
4根管 拡大鏡 根管充填処置
他のクリニックで湾曲管で難しいといわれて星野歯科へきた患者さん。
今年は基本にかえる。全ての自分の治療を見直す年。経験1年目のドクターが追求する分野をやり直す。

管治療もそのうちのひとつ。もともと管治療はその気になれば自信はあったが管内部を見ながらやるのと感覚でやるのとでは長期経過に差が出てくる。10年以上前に完璧だと思っていた幹治療もある時点から尖病巣を生むことがある。経過の良いものと悪いもので差が出てくる。やり直しても再発するケースもある。

緊密にさらに管内部が完璧に綺麗にマイクロスコープで確認できれば、成功率はさらに上がる。

湾曲管もステップさえつけなければそう難しいことはない。無理な力を与えないことと牙粉をまめに超音波洗浄して洗い流すこと。

とにかく無理せず時間を惜しまずしっかり行うだけ。
今日は下顎大臼歯の4管の充填、1時間かけて形成して充填まで

画像は充填後と充填前



 
(0)   (0)   

 2012.10.10 [ 根管治療 ]
不良根管治療
またまた破壊者歯医者。あ〜あやっちまったなぁ〜と、この管治療をした先生にはいいたい!

急患で飛行機に乗っていたら痛くなってということで右上1,2番のレントゲンとると見事な尖病巣ができあがっていた。原因は不良管治療ということになる。充材がはいってないままコアがはいって硬質レジン前装冠が装着されていた。いわゆる手抜き工事。

被せものを削り、スクリューポストをはずしてまたびっくりした。さらに鋳造コアの残骸が残っていたからだ。この歯は2名の別の先生が治療をしたが2名とも適当な治療で終わらしたということになる。1人目の先生が最初の手抜きの管充填なしの治療をしたのちに、2番目の先生がそのコア材を途中まで削り取って外そうとしたがあきらめてその上からスクリューポストで支台築造を行い、かぶせものをしたということになる。

こういう治療の連続で確実に歯は弱って抜歯の運命をたどるのだろう。

この2名の先生の手抜き工事のフォローを90分かけてコア材を除去し、仮歯に置き換えた。時間はかかったがやらなければいけないことなので諦めずに慎重にコア材を削りとった。

治療方針
フェイスブック
(0)   (0)   

 2012.06.06 [ 根管治療 ]
外科的根管治療
管治療は手探りで難しい。それはとても小さな小さな穴の中をきれいにしてしっかりと詰め物をしなくてはの先に膿がたまってしまう。そういうことからの中をしっかりと覗いてどういう状態なのかを確認しなければいけない。それでも治りの悪いものは沢山ある。の治療をしてもかんばしくないときは直接の先の膿をきれいにとって裏側から詰め物をしてあげた方が確実である。私はこの方法を選択するようになってからほとんど再発がない。

治療方針
フェイスブック
(0)   (0)   

 2012.01.17 [ 根管治療 ]
根管治療でも治らない症例は歯根尖切除法で
6ヶ月前に施術した歯病巣。これぐらい大きくなると管内からのアプローチではなかなか治らないもの。多くのインプラント専門医院ではこのようなケースでは即抜歯を促してくる場合がある。このようなケースは昔では尖部をカットしてアマルガム合金(水銀と銀の合金)での先をふさぐ手法が取られていたが成功率は五分五分であった。最近ではこのようなケースでも尖部を3ミリカットしてMTAと呼ばれる生体材料を充填することで90%の確率で成功させることが可能となった。

左画像:術前 右画像:術後

治療方針
フェイスブック
(0)   (0)   

[ 1 〜 10 の記事を表示 ( 13 記事中 ) ]
2015/05/27
アレルギーのないジルコニアインプ
2015/05/09
相談無料 インプラント治療費 減
2015/03/23
日本口腔インプラント学会専門医
2015/01/22
消毒滅菌設備の強化
2014/12/28
平成26年度 インプラント184
2014/11/24
保険のパラジウム合金で金属アレル
2014/11/06
健康意識が高まる予防歯科
2014/10/31
緊急ミーティング 感染予防対策
2014/10/12
10年間のインプラントデータから
2014/10/11
10年間のインプラント治療実績
2014/08/01
80歳越えまでは当たり前に でも
2014/07/25
悔やまれる17歳の銀色のかぶせ物
2014/07/15
星野歯科はドイツサッカーを目指す
2014/02/01
MTMメディカルトリートメントモ
2015/01/28
歯科衛生士・歯科助手・募集
2013/08/07
歯を失う原因
2013/08/05
正しい知識を持ってインプラント治
2013/04/18
平成24年度インプラント175本
2013/04/10
歯科医師・歯科衛生士平成25年4
2013/03/26
当クリニックのインプラント治療に
2012/12/14
2012年を振り返ってみて
2012/09/26
一生涯を自分の歯で食べるための治
2012/04/25
2011年度 補綴総数とその内訳
2012/04/09
長期経過症例 術後18年目のイン
2012/03/14
インプラントガイドモニター募集の
2012/01/17
安全性の高いインプラント手術法=
2012/01/12
安全なインプラント治療とは
2011/12/21
平成23年度インプラント280本
2011/10/26
掌蹠膿疱症(しょうせきのうほうし
2011/03/03
ジルコニアインプラント認定医とな
2011/01/25
インプラント治療デフレ脱却
2010/12/16
インプラントの適正治療費
2010/12/06
e-maxセラミックの使用状況報
2010/12/03
駒沢皮膚科クリニックと提携のお知
2010/12/01
人参形状を模倣したインプラント
2010/08/24
これからはインプラントフォローの
2010/08/14
メタルフリーの意義
2010/07/16
国内初 ROXOLID(TiZr
2010/07/13
金属アレルギー予防に有効なインプ
2010/07/01
最後のハグ
2010/06/27
チタンに変わるインプラント導入
2010/04/16
ROXOLID
2010/01/22
当医院のインプラントの取り扱いに
2010/01/09
マウスピース型の矯正治療は大人気
2009/12/21
平成21年度インプラント305本
2009/11/19
危険な10万円インプラントという
2009/10/20
日本人に適したインプラント
2009/06/18
過去5年のインプラント実績
2009/04/23
10万円インプラント医も逮捕
2009/04/05
マウスピース矯正について
2009/03/23
インプラント割引制度
2009/03/16
保険診療と自由診療の違いとは?
2009/02/26
低価格インプラントに共通の今回の
2009/01/14
7種類のインプラント表面と骨との
2009/01/11
フィンランド政府のインプラント統
2009/01/08
平成20年度の307本インプラン
2008/12/24
インプラントの適正治療費について
2008/09/12
本来の歯科医療の在り方
2008/08/07
最新インプラントデータ平成19,
2008/07/21
アンキロスインプラント長期データ
2008/07/15
長期データのないインプラントは使
2008/05/22
究極の虫歯治療
2008/04/25
28本で初めて咬合力は均等に分散
2008/04/02
理想治療から更にかけ離れる保険治
2008/02/28
平成19年度インプラント335本
2008/01/17
セレック3D導入のお知らせ
2007/12/17
メタルフリーの意義とは?
2007/11/19
矯正治療を選ぶか審美歯科治療を選
2007/11/18
メタルフリー治療を目指す意味
2007/11/07
丁寧な治療と説明重視と目指して
2007/09/16
日本初!インプラント症例集Bef
2007/08/10
アンキロスインプラントと審美
2007/06/27
アクアシステム(マウスピース矯正
2007/06/24
矯正の経験年数と症例数の関係
2007/06/23
インプラントの経験本数と経験年数
2007/03/17
削らない治療の勧め(グラディアダ
2007/03/05
当医院のインプラント成功率H18
2006/12/14
新庄選手の異常に白い歯はジルコニ
2006/12/03
歯の老化現象から若返りはできるの
2012/01/01
インプラント治療を受ける前に読ん
2006/10/29
ジルコニアオールセラミックのイン
2006/10/28
人気の最新ホワイトニングについて
2006/10/19
審美歯科について(ジルコニア)
2006/10/15
ブラケットやワイヤーを使わない矯
2006/10/05
新しい素材ジルコニアについて
2006/10/04
静脈鎮静法の効果で痛みも感じない
2006/09/18
生活スタイルに合ったインプラント
2006/09/17
ブリッジ治療がどのような経過でダ
2006/08/22
歯を削らない治療が長い目で見て一
2006/08/20
抜歯基準の難しさ
2006/08/08
フラップレス(無切開無剥離)によ
2006/06/15
インプラント治療の前に矯正治療が
2006/06/13
インプラント治療と矯正治療の相乗
2006/05/28
フラップレス法(無切開無剥離)に
2006/04/15
歯周病治療なくしてインプラント治
2006/04/11
テーバードScrew-Vent
2006/03/09
ALL ON FOURテクニック
2006/03/08
増骨(サイナスリフト法)でインプ
2006/02/12
新しいスタイルのインプラントブロ
2005/10/03
ツタンカーメン王のミイラをCTス
2005/09/22
インプラント治療は歯の総合治療
2005/09/21
あなたの歯の寿命はどれくらいかC
2005/06/23
世界のインプラントの潮流 『SL
2005/06/23
I.T.Iインプラントが世界ナン
2005/05/22
インプラントの手入れ
2005/05/06
国産インプラントの問題点
2005/05/05
インプラントの被せ物は技工士の腕
2005/05/04
なぜインプラントの治療費は高いの
2005/05/02
年間のインプラント植立が多すぎる
2005/04/01
悪の連鎖その3 噛みあわせが強い
2005/03/29
悪の連鎖その2 重症な歯周病患者
2005/03/28
悪の連鎖を断ち切ろう!!
2005/03/26
インプラント検診
2005/03/09
インプラント治療の考えと将来展望
 2015/01/08 20:06
教えて下さい
 2015/01/08 22:05
専門医試験
 2014/11/14 19:21
サーモセンサー
 2014/11/14 23:42
メーカー
 2014/07/06 12:04
おめでとうございます!
 2014/06/02 09:51
10Km…
 2014/06/02 09:23
AED
 2014/05/26 12:43
思わず「いいね!」したいです♪
 2014/05/25 10:45
頑張ってください。
 2014/05/25 15:04
いつもありがとう♪
 2015/07/16 16:07
スチームクリーナー 比較
 2014/05/28 19:06
ralph lauren pas
 2014/05/29 17:50
Cheap Samsung Ga
 2014/05/02 03:17
Discount Beanies
 2014/05/28 19:06
nike free dame