予防・インプラント・歯列矯正・審美歯科ブログ 『究極の歯科医療を目指す歯科医師ブログ』歯を治して若返り!

★究極の歯科治療を目指して★
患者さんや歯科関係者のために多くの歯科情報を公開していこうと思います!
皆様が特に関心のある予防インプラント治療矯正治療審美歯科治療ホワイトニング、メタルフリー治療について色々な情報を正しくお伝えできたらと考えています。
一度治療したらそれ以上悪くならない治療・虫歯や歯周病を発生させない治療を目指しています。
そして、このブログが患者様の治療に役立てたら最高だと思います。それと多くのコメントをお待ちしています。
治療に対する質問は直接メール相談できるコーナーがございますので左側の『歯科治療プライベート相談』から院長 星野と直接相談を行うことが出来ますのでどうぞご利用ください。返事は2〜3日中には必ず返事を出します。
東京都世田谷区駒沢1−3−17
星野歯科駒沢クリニック
月曜〜土曜日 10:00−13:30 15:00−19:00
03−5486−8440

院長 星野 元


携帯からブログや診療内容が見れます


Twitterやっています



・星野歯科駒沢クリニック
・インプラントリカバリー
センター

・ジルコニアインプラント
研究会


歯科治療プライベート相談
院長と直接
相談したい方はこちらへ
> my page

院長著書
最新「歯科医療」
事情
>目次を見る
2026 年
05
     12
3456789
10111213141516
17181920212223
24252627282930
31
=全てのカテゴリ=
  星野 元 詳細プロフィール 過去から現在
  Dr星野のアクアシステム体験記
  スタッフ募集
  過去ブログ一覧2003.11-2006.10
  Dr別診察日と休診日
  予約状況
  相談と治療予約
  院内情報
  理想とかけ離れた保険治療
  歯科最新記事
  伝えたいこと
  患者さんとの話
  星野個人の話
  精密治療(マイクロスコープ)
  歯科のアンチエイジング
  予防歯科
  インプラント基礎情報
  サイナスリフト法など増骨について
  インプラント症例
  インプラント最新情報
  インプラント症例集
  ブリッジvsインプラント
  入れ歯
  矯正の基礎情報
  矯正症例
  マウスピース矯正
  マウスピース矯正症例
  矯正治療最新情報
  インプラント矯正アンカー情報
  審美歯科基礎情報
  審美歯科症例
  審美歯科最新情報
  ジルコニアオールセラミッククラウン
  根管治療
  金属アレルギー
  セレック
  究極の歯科技工
  ホワイトニング最新情報
  レーザー情報
  講演会・研修会情報
  副院長 篠山より一言
== 未分類 ==

 30854197
     

人気blogランキングへ

みんなのブログランキング
◆2006年10月までの記事

もう一つの
インプラントブログ


星野歯科駒沢クリニック
星野歯科駒沢クリニック

星野歯科の予防歯科
インプラントFAQ
インプラントFAQ
矯正歯科のことなら星野歯科矯正サイト
星野歯科矯正サイト
審美歯科Q&A
審美歯科Q&A
インプラント110番

世田谷マウスピース矯正センター

根管治療ガイド

インプラント相談と回答

インプラント体験談

星野歯科求人情報

Mail

歯科治療プライベート相談
院長と直接
相談したい方はこちらへ
> my page

院長著書
最新「歯科医療」
事情
>目次を見る

 2015.07.25 [ インプラント症例 ]
Before After Bone Level Implant
今回の症例は左右の歯が歯破折を起こしてインプラントになってしまった例です。長年メインテナンスをしていても防ぐことが難しいのが咬む力をコントロールすることです。


  
(0)   (0)   

 2015.07.23 [ インプラント症例 ]
審美性を考慮してあえてアンキロスインプラントを使用
症例に合わせたインプラントメーカーの選択は非常に重要ですね。最近ではストローマンインプラントの使用比率が9割を占めていますが今回はあえてアンキロスインプラントを使用しています。


  
(0)   (0)   

 2015.07.18 [ インプラント症例 ]
左下6、7番目のインプラント手術
今回も良くあるケースです。


 
(0)   (0)   

 2015.07.06 [ インプラント症例 ]
右下7番目の欠損部にインプラント手術 9分間
今日のインプラント手術は欠損部の骨の条件がよかったのでフラップレス法で痛みと腫れをなくす方法で行っています。

この方法では切開をしないので手術時間も短くなり10分以内に入れ込むことができます。これぐらいの手術ならば抜歯よりも虫歯の治療よりも簡単で速くそれほど怖がることもありません。

痛みや腫れを心配される患者さんは非常に多いのですが終わってみるとなんてことはないと気づく方が多いですね。

そうはいえ、術者次第でこれは全く別物の手術になります。腫れや痛みは汚く切開して大きく開けて長時間の手術になると空気に組織がふれている時間が長くなるので腫れや痛みにつながります。

最小の麻酔薬で最小の切開をすることで体に負担の少ない手術となります。インプラント治療が成功するのは当たり前ですから、その上を目指すと患者さんがいかに楽に術中、術後を暮せるかを考えて行うことになります。



 
(0)   (0)   

 2015.07.04 [ インプラント症例 ]
サージカルガイドの活用
前回のブログの記事で骨がピンポイントにしかない場合は光造形模型で外科のシュミレーションを追加でおこないますと言いましたが正確に入れ込むにはサージカルガイドを使用することになります。

骨に穴をあける際に正確に骨のある位置に入れ込むには最初のドリルの方向の位置決めが重要となります。

スタートがずれると相当にずれることになります。そのスタート地点を決めてくれるのがサージカルガイドとなります。

私の場合はスタート地点を決めるだけのガイドしか基本的には使用してません。あとは自分の目と経験でインプラントを入れるようにしています。
サージカルガイドを全面的に信用するにはまだ早いと思うからです。
いろいろなステップを踏むにつれてわずかな誤差が出るために最後は人間の経験生かされて精度の高い手術ができるようになります。


   
(0)   (0)   

 2015.06.26 [ インプラント症例 ]
Short implant
Short implant ショート インプラント
何のことだろうか?と思われるかもしれませんが長さの短かなタイプのことです。長くて太いインプラントの長期的な成績が良いのではと思われますが違うのです。長すぎるものは折れる。
昔は長いタイプというと18ミリなんていうのを結構使っていました。標準が15ミリ、13ミリで10ミリ以下は短いというのが常識でした。

それでは今はどうか?
6ミリ、さらに短い4ミリなんていうサイズのインプラントも登場してきました。6ミリのインプラントの生存率や成功率はそれ以上のながさのものとほぼ同等です。

私もたまに下顎の骨の高さの少ない部位に使用してきましたが抜けたケースはありません。
私の場合、ほとんど8ミリか10ミリの長さのインプラントを使用してきましたがこれらも問題ありません。
長ければいいことはあまりないです。下顎は短いものでも十分で上顎は長めのほうが有利です。
人間の骨は上顎は柔らかく下顎は硬いからです。
今日のオペでは直径4.8ミリ太さ6ミリのインプラントを使用しました。


   
(0)   (0)   

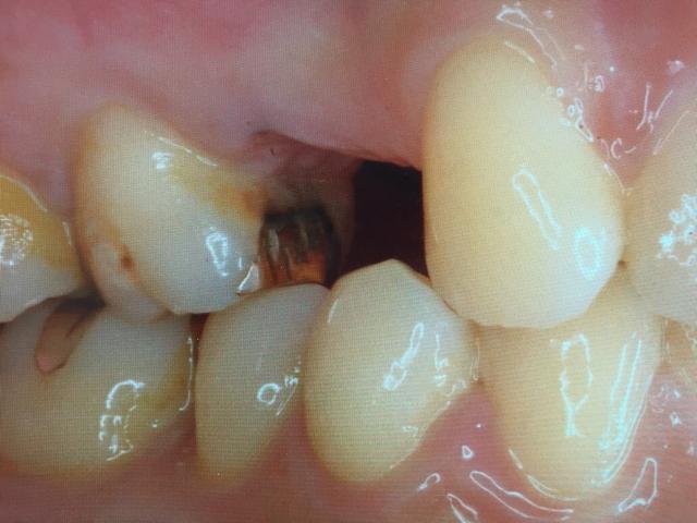
 2015.06.23 [ インプラント症例 ]
右下5番欠損の修復
右下5番の歯周病が進行したケース

周りの歯がインプラントに変わっても自分の歯が後から問題を起こして抜歯となるケースは案外多いものです。

この方の場合は上の歯もインプラントが入っているという状況ですから、力学の法則で力は弱い方向へ伝達しその部分を破壊していきます。歯周病➕強い力がこの歯を破壊したと言えそうです。

抜歯から3ヶ月経過した今日、インプラントの埋め込み手術をしました。


   
(0)   (0)   

 2015.06.16 [ インプラント症例 ]
右上4番目のジルコニアインプラント手術
本日は右上4番目にジルコニアインプラントの植立手術を行いました。


   
(0)   (0)   

 2015.06.15 [ インプラント症例 ]
右下7番目のインプラント手術
本日は右下7番目のインプラント植立手術を行いました。

骨の高さが少ないケースで慎重に行いました。


   
(0)   (0)   

 2015.06.12 [ インプラント症例 ]
痛まない怖くないインプラント治療 静脈鎮静法
本日のインプラント手術は合計4本を静脈鎮静法で患者さんの不安や緊張を取り除いた状態で行いました。

インプラント手術=外科=怖い
そういう図式をぶち壊して歯がダメになったらその時もインプラント手術をまた受けてもいいと思わせるように施術しないといけないと思います。

私の場合はなるべ痛みの少ない麻酔に始まり小さく開けて素早く短時間で終わらせることで術後の腫れと痛みがほとんど出ないようにコントロールしています。

今回のオペでは点滴で静脈からリラックスできるお薬を投入しながら行いました。モニタリングは10:06からスタートではあるが私がスタートしたのは10:40ぐらいから50分ぐらい。

内容は左下5にあった残存乳歯を抜歯して即日埋入1本、右上4、左上2、左上6ソケットリフトの合計4本。


   
(0)   (0)   

[ 1 〜 10 の記事を表示 ( 466 記事中 ) ]
2015/05/27
アレルギーのないジルコニアインプ
2015/05/09
相談無料 インプラント治療費 減
2015/03/23
日本口腔インプラント学会専門医
2015/01/22
消毒滅菌設備の強化
2014/12/28
平成26年度 インプラント184
2014/11/24
保険のパラジウム合金で金属アレル
2014/11/06
健康意識が高まる予防歯科
2014/10/31
緊急ミーティング 感染予防対策
2014/10/12
10年間のインプラントデータから
2014/10/11
10年間のインプラント治療実績
2014/08/01
80歳越えまでは当たり前に でも
2014/07/25
悔やまれる17歳の銀色のかぶせ物
2014/07/15
星野歯科はドイツサッカーを目指す
2014/02/01
MTMメディカルトリートメントモ
2015/01/28
歯科衛生士・歯科助手・募集
2013/08/07
歯を失う原因
2013/08/05
正しい知識を持ってインプラント治
2013/04/18
平成24年度インプラント175本
2013/04/10
歯科医師・歯科衛生士平成25年4
2013/03/26
当クリニックのインプラント治療に
2012/12/14
2012年を振り返ってみて
2012/09/26
一生涯を自分の歯で食べるための治
2012/04/25
2011年度 補綴総数とその内訳
2012/04/09
長期経過症例 術後18年目のイン
2012/03/14
インプラントガイドモニター募集の
2012/01/17
安全性の高いインプラント手術法=
2012/01/12
安全なインプラント治療とは
2011/12/21
平成23年度インプラント280本
2011/10/26
掌蹠膿疱症(しょうせきのうほうし
2011/03/03
ジルコニアインプラント認定医とな
2011/01/25
インプラント治療デフレ脱却
2010/12/16
インプラントの適正治療費
2010/12/06
e-maxセラミックの使用状況報
2010/12/03
駒沢皮膚科クリニックと提携のお知
2010/12/01
人参形状を模倣したインプラント
2010/08/24
これからはインプラントフォローの
2010/08/14
メタルフリーの意義
2010/07/16
国内初 ROXOLID(TiZr
2010/07/13
金属アレルギー予防に有効なインプ
2010/07/01
最後のハグ
2010/06/27
チタンに変わるインプラント導入
2010/04/16
ROXOLID
2010/01/22
当医院のインプラントの取り扱いに
2010/01/09
マウスピース型の矯正治療は大人気
2009/12/21
平成21年度インプラント305本
2009/11/19
危険な10万円インプラントという
2009/10/20
日本人に適したインプラント
2009/06/18
過去5年のインプラント実績
2009/04/23
10万円インプラント医も逮捕
2009/04/05
マウスピース矯正について
2009/03/23
インプラント割引制度
2009/03/16
保険診療と自由診療の違いとは?
2009/02/26
低価格インプラントに共通の今回の
2009/01/14
7種類のインプラント表面と骨との
2009/01/11
フィンランド政府のインプラント統
2009/01/08
平成20年度の307本インプラン
2008/12/24
インプラントの適正治療費について
2008/09/12
本来の歯科医療の在り方
2008/08/07
最新インプラントデータ平成19,
2008/07/21
アンキロスインプラント長期データ
2008/07/15
長期データのないインプラントは使
2008/05/22
究極の虫歯治療
2008/04/25
28本で初めて咬合力は均等に分散
2008/04/02
理想治療から更にかけ離れる保険治
2008/02/28
平成19年度インプラント335本
2008/01/17
セレック3D導入のお知らせ
2007/12/17
メタルフリーの意義とは?
2007/11/19
矯正治療を選ぶか審美歯科治療を選
2007/11/18
メタルフリー治療を目指す意味
2007/11/07
丁寧な治療と説明重視と目指して
2007/09/16
日本初!インプラント症例集Bef
2007/08/10
アンキロスインプラントと審美
2007/06/27
アクアシステム(マウスピース矯正
2007/06/24
矯正の経験年数と症例数の関係
2007/06/23
インプラントの経験本数と経験年数
2007/03/17
削らない治療の勧め(グラディアダ
2007/03/05
当医院のインプラント成功率H18
2006/12/14
新庄選手の異常に白い歯はジルコニ
2006/12/03
歯の老化現象から若返りはできるの
2012/01/01
インプラント治療を受ける前に読ん
2006/10/29
ジルコニアオールセラミックのイン
2006/10/28
人気の最新ホワイトニングについて
2006/10/19
審美歯科について(ジルコニア)
2006/10/15
ブラケットやワイヤーを使わない矯
2006/10/05
新しい素材ジルコニアについて
2006/10/04
静脈鎮静法の効果で痛みも感じない
2006/09/18
生活スタイルに合ったインプラント
2006/09/17
ブリッジ治療がどのような経過でダ
2006/08/22
歯を削らない治療が長い目で見て一
2006/08/20
抜歯基準の難しさ
2006/08/08
フラップレス(無切開無剥離)によ
2006/06/15
インプラント治療の前に矯正治療が
2006/06/13
インプラント治療と矯正治療の相乗
2006/05/28
フラップレス法(無切開無剥離)に
2006/04/15
歯周病治療なくしてインプラント治
2006/04/11
テーバードScrew-Vent
2006/03/09
ALL ON FOURテクニック
2006/03/08
増骨(サイナスリフト法)でインプ
2006/02/12
新しいスタイルのインプラントブロ
2005/10/03
ツタンカーメン王のミイラをCTス
2005/09/22
インプラント治療は歯の総合治療
2005/09/21
あなたの歯の寿命はどれくらいかC
2005/06/23
世界のインプラントの潮流 『SL
2005/06/23
I.T.Iインプラントが世界ナン
2005/05/22
インプラントの手入れ
2005/05/06
国産インプラントの問題点
2005/05/05
インプラントの被せ物は技工士の腕
2005/05/04
なぜインプラントの治療費は高いの
2005/05/02
年間のインプラント植立が多すぎる
2005/04/01
悪の連鎖その3 噛みあわせが強い
2005/03/29
悪の連鎖その2 重症な歯周病患者
2005/03/28
悪の連鎖を断ち切ろう!!
2005/03/26
インプラント検診
2005/03/09
インプラント治療の考えと将来展望
 2015/01/08 20:06
教えて下さい
 2015/01/08 22:05
専門医試験
 2014/11/14 19:21
サーモセンサー
 2014/11/14 23:42
メーカー
 2014/07/06 12:04
おめでとうございます!
 2014/06/02 09:51
10Km…
 2014/06/02 09:23
AED
 2014/05/26 12:43
思わず「いいね!」したいです♪
 2014/05/25 10:45
頑張ってください。
 2014/05/25 15:04
いつもありがとう♪
 2015/07/16 16:07
スチームクリーナー 比較
 2014/05/28 19:06
ralph lauren pas
 2014/05/29 17:50
Cheap Samsung Ga
 2014/05/02 03:17
Discount Beanies
 2014/05/28 19:06
nike free dame